loader

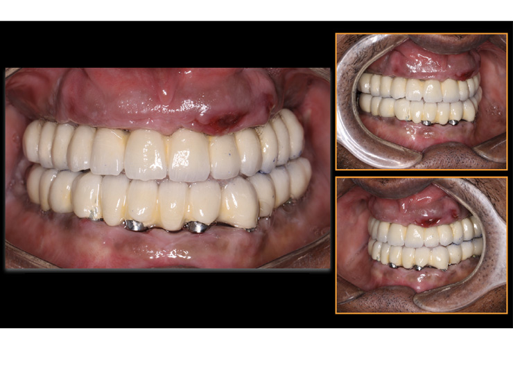
Both Arch

img

Both Arch

Our natural teeth are firmly held in its intended space by its roots inside the jawbone. Dental caries (tooth decay), infections, cancer, trauma, and various medical conditions lead to loss of teeth. In some severe situations, this can lead to the loss of all teeth. The state of having no teeth in one's oral cavity is termed as being Completely Edentulous. The roots of our natural teeth play many roles apart of holding the tooth, one of these is stimulating the jaw bone so that it retains its intended shape and size. Once all teeth are lost, the jaw bone is no longer stimulated and leads to consequences. This loss severely affects the jaw bone, it begins to resorb and shrink in size, becoming thinner and thinner with passing time. This happens because of the lack of teeth, the bone doesn't need to serve the purpose which the nature intended so it begins to undergo atrophy.

img
img
img

The effect of missing teeth extends way beyond just a toothless jaw. The existing jaw bone undergoes severe atrophy, it shrinks. This makes the replacement of teeth extremely difficult due to the unavailability of support. The entire jaw shrinks and in late stages collapses, this is termed as facial collapse. This deterioration of the bone changes the appearance of the face completely. This leads to facial sagging. Facial sagging happens due to the shrinkage of upper and lower jawbones. The bone height is lost and the overall length of the face decreases. Some vital structures and nerves are also now exposed to the oral environment causing pain and discomfort.

Loss of all teeth leads to a severely compromised mastication since there are no teeth, the chewing capability is completely gone. This also leads to restricted dietary habits and may lead to incomplete nutrition. Incomplete nutrition further gives rise to various nutritive disorders and loss of health.

The way we speak is a very unconscious activity. The quality of speech is intimately related to the presence of teeth, jawbones, tongue, and lips. The loss of teeth, shrinkage of jawbones which follows the loss of teeth and collapse of lips as the support of teeth is now lost inevitably disturbs the entire system, thus leading to altered and impaired speech. The quality of the speech is entirely changed and certain sounds slip and cannot be heard clearly. This leads to difficulty in communication and expressing oneself.

All these disabilities affect the self-confidence of an individual very severely, can cause anxiety and mental stress. This affects the social presence and life of that individual as they often develop self-consciousness.

However, all this can be avoided by taking care of our teeth, oral hygiene and visiting a dentist for a check-up on a regular basis. We at Jani's Implant center and smile studio not only help you get new teeth but also save an protect the ones you have with the help of ultrasonic scaling and treating decayed teeth with types of dental cement and composites and root canal treatments. We are equipped with all the latest instruments like apex locators, curing light for dental cement and composites, digital scanners to help you maintain a dazzling smile and impeccable oral health. we are also fully equipped with various dental imaging solutions like portable X-ray unit, CBCT, sensors to help patients cut down the trips to x-ray centers and provide them with a one-stop solution for all their dental issues.

We offer a wide range of treatment options for patients looking for full teeth replacement. A patient can go for a removable partial denture, implant-supported dentures and implants according to their needs. Even if a person lacks adequate bone height for placement of implants there is now no need to worry as basal implants are just the option for you. No longer are stressing and hesitating over lost teeth because we are here to help you regain your smile and confidence.